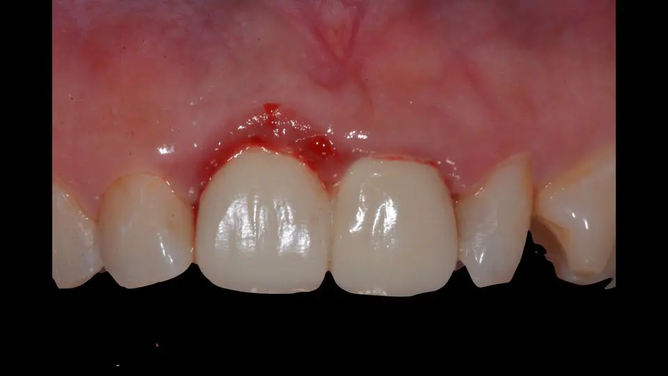
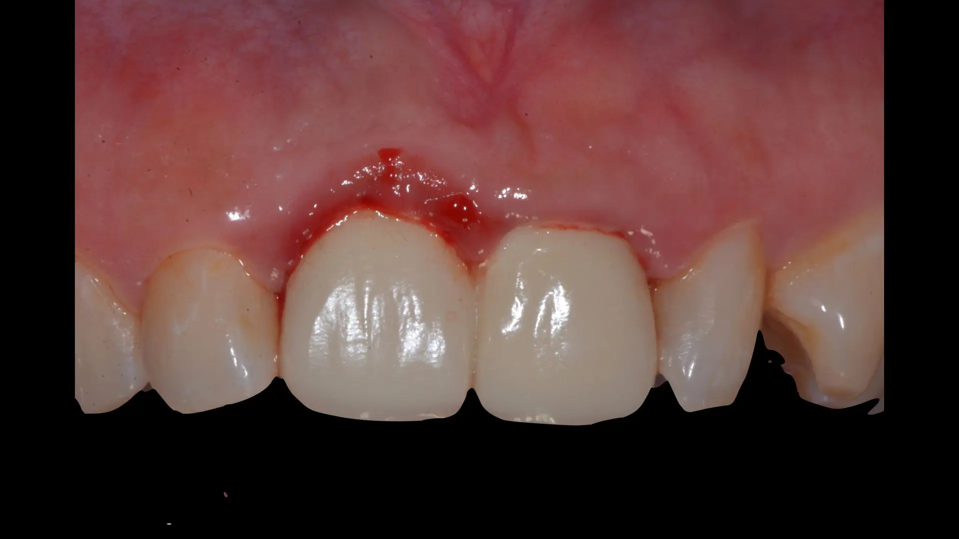
看到假牙牙冠邊緣牙齦發炎,可能有醫師會直覺反應 侵犯 生理寬度(Biological Width)。


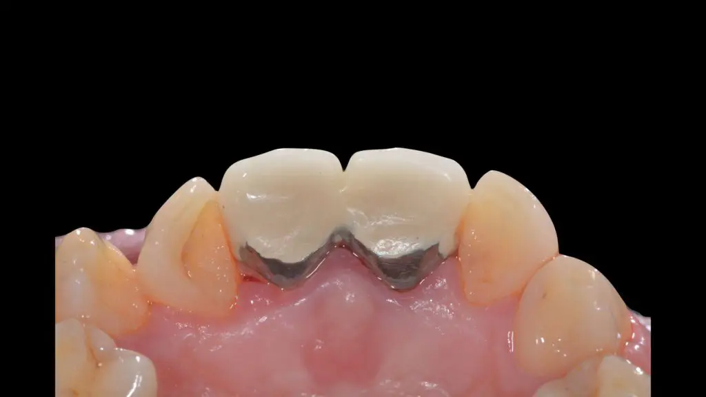
其實當我們將齦緣以氣槍吹開,很清楚的可以看到牙根面污染以及邊緣不密合以及牙冠緣做得太開並未與牙齒結構緊密貼合連接,以至於造成倒凹型狀(undercut)容易藏污納垢,這個也和牙冠的穿齦型態沒有強烈的因果關係,可以由鄰牙21牙冠的周圍牙齦狀態互相比較而釐清可能導致發炎的因子。
牙位11牙冠周圍牙齦發炎狀態,可以藉由反覆的清潔或配合抑菌劑達成有效控制致病菌斑和去除毒素而恢復牙齦短期健康。但是中長期仍以重新製作新的精準牙冠才能讓患者能夠有效清潔,維持牙冠周圍牙齦的健康。在牙齦恢復健康期間,製作良好的臨時牙冠可以幫助牙醫師做有效的評估與牙齦與牙冠建立穩定關係。


