遇到植牙發炎怎麼辦?專業牙醫師來解答
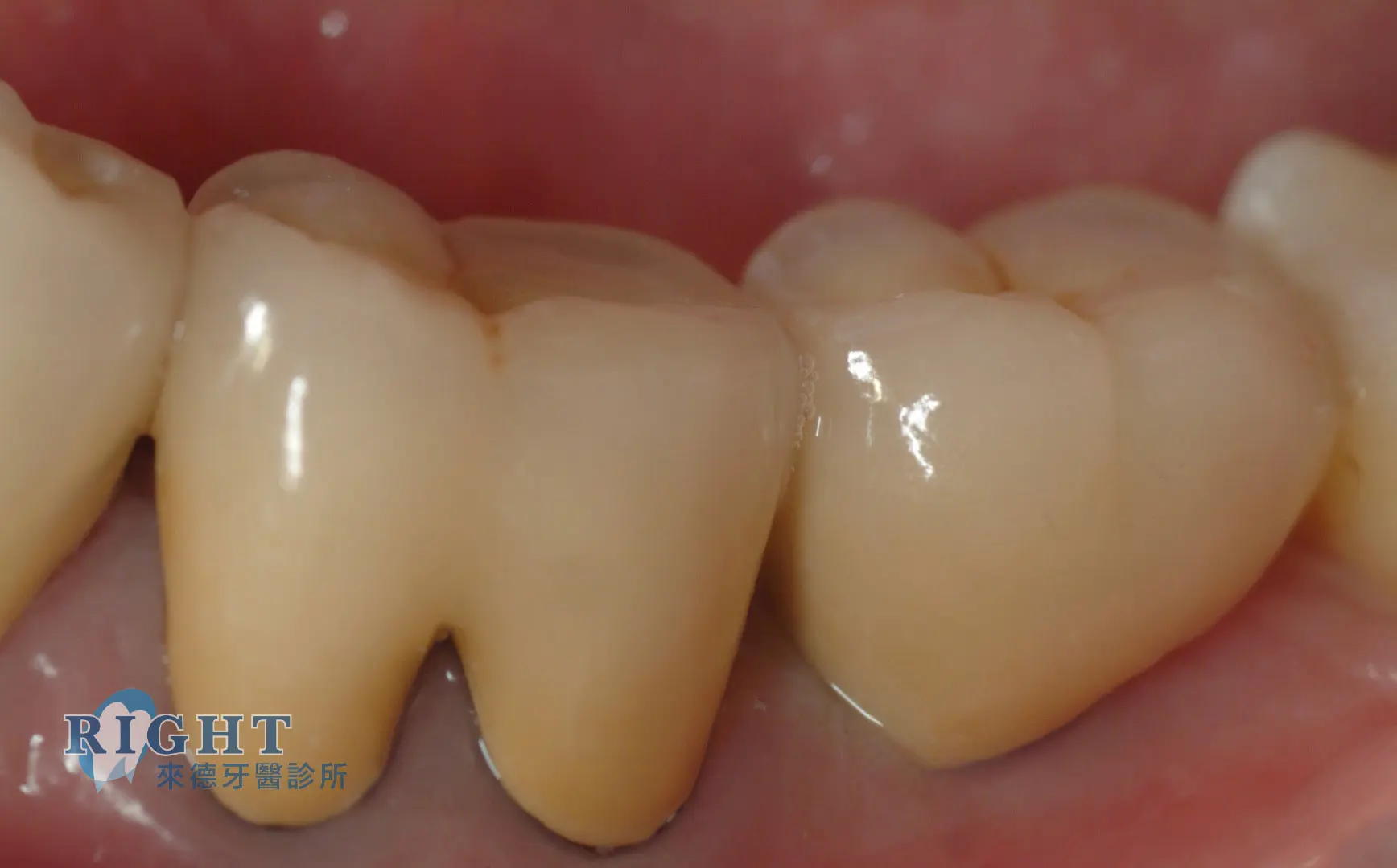
多數人常有的迷思會認為,植牙在裝入人工牙根與假牙牙冠後就一勞永逸,金屬牙根比真牙強壯,不會蛀牙,那就不需特別照顧。然而,事實真是如此嗎?其實植牙跟自然牙一樣需要清潔照護,若觀念不當導致未善加清潔維護,就有可能造成植牙區域細菌增長,久而久之形成植牙發炎、甚至植體周圍炎的狀況,植牙發炎怎麼辦?植牙後發炎又該怎麼避免?來德台北牙醫診所以下為大家說明。
植牙飲食要注意什麼?術後五大禁忌告訴你
就快要進行植牙手術了,擔心手術後會碰到植牙牙齦腫的狀況嗎?或是很擔心植牙術後飲食該怎麼吃呢?相信有關注植牙療程的大家一定會好奇植牙飲食相關問題,以下由來德台北牙醫診所為大家從專業角度解答。
植牙流程大解密,植牙手術流程要很久嗎?
植牙流程就像一場嚴謹細膩的馬拉松接力賽,植牙手術流程中的每一棒都至關重要,需要透過不斷操作演練累積深厚經驗,才能擁有精準的判斷、嫻熟的技巧、精湛的工藝,交棒給下一個流程時才能順利銜接,最終抵達勝利終點。關於植牙流程ptt鄉民對植牙流程時間還相當陌生嗎?來德台北牙醫診所周承澤醫師為您娓娓道來。
